Thèmes : médecine, sciences.
Conférence du mardi 8 Novembre 1983.
« L’hérédité humaine ; les questions toujours d’actualité ;
les jumeaux, les malformations, l’hémophilie, le mongolisme, le daltonisme, … »
Le mardi 8 novembre, Monsieur AUFFRET VAN DER KEMP, Conseiller Scientifique et Pédagogique du Département Sciences de la Vie du Palais de la Découverte est venu nous parler de l’hérédité humaine.
Il a illustré ses propos par de nombreuses diapositives.
I. – ORGANISATION GENETIQUE.
La cellule est la plus petite unité anatomique vivante du corps. Délimitée par une enveloppe appelée membrane plasmique, elle contient une substance gélatineuse, le cytoplasme, dans lequel baignent différents organites spécialisés.
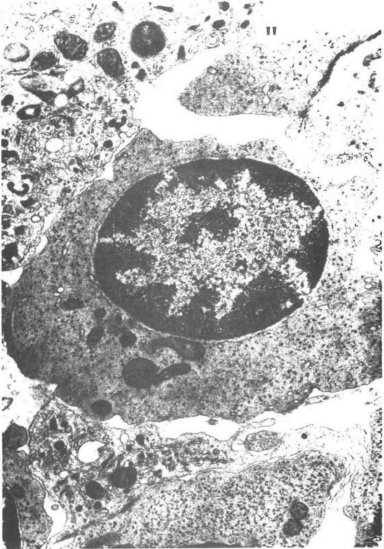
Son centre est occupé par un noyau (en foncé sur la photo n°1) qui détient le matériel héréditaire à partir duquel se forment les chromosomes au cours des reproductions cellulaires.
La photo 1 est une cellule de foie, vue au microscope électronique à transmission.
Les 4 photos suivantes (2, 3, 4 et 5) montrent les quatre phases d’une mitose observées au microscope électronique à transmission.
- photo 2 : les chromosomes s’épaississent dans le noyau,
- photo 3 : les chromosomes se dédoublent et se groupent par paires à l’équateur cellulaire,
- photo 4 : les chromosomes se séparent en 2 lots équivalents chacun aux deux pôles cellulaires, migrant chacun aux deux pôles cellulaires,
- photo 5 : la cellule se divise en 2 cellules identiques.
Notre corps est constitué de plusieurs milliers de milliards de cellules dans le noyau desquelles apparaissent, au moment des divisions cellulaires, 23 paires de petits « filaments » appelés chromosomes.

Photo 1
Cellule du foie vue au microscope électronique à transmission
laissant voir au centre en sombre le noyau, contenant le matériel héréditaire

Photos 2, 3, 4, 5
Ceux-ci véhiculent les instructions ou gènes qui déterminent nos caractéristiques héréditaires. Quand les cellules se divisent, les chromosomes se dupliquent en se divisant dans le sens de la longueur, si bien qu’on retrouve toujours le mème nombre et les mèmes formes de chromosomes dans les cellules filles. Le nombre et la forme des chromosomes sont constants pour une espèce et la caractérisent. Au cours de la division cellulaire, lors de la formation des cellules sexuelles, le nombre des chromosomes peut être réduit de moitié (réduction chromatique).
Les figures 6 et 7 schématisent l’évolution des cellules mâles et femelles.
Pour les cellules mâles, les glandes génitales donnent de petites cellules à 2n chromosomes (cellules diploïdes) appelées spermatogonies.

Fig. 6. Ovogénèse

Fig. 7. Spermatogénèse
Fig. 6 et 7. Schéma de la gamétogénèse. Dans de nombreuses espèces, le premier globule polaire se divise comme l’ovocyte de 2e ordre.
Les spermatogonies se multiplient puis s’accroissent légèrement, devenant des spermatocytes de 1er ordre. Chacun de ces derniers se divise. C’est alors que survient une réduction chromatique qui peut, très schématiquement, se résumer de la manière suivante. Dans chaque spermatocyte de 1er ordre qui se divise, les chromosomes restent entiers. Dans chaque couple de chromosomes, l’un des chromosomes émigre à un pôle de la cellule, l’autre chromosome émigre à l’autre pôle. Chaque spermatocyte du 2e ordre ne contient plus que n chromosomes (cellule haploïde) au lieu de 2n.
Cette division est dite réductionnelle.
Avant même que les noyaux ne se soient reconstitués entièrement, une deuxième division donne deux spermatides à n chromosomes. Chaque spermatide subit enfin une différenciation structurale importante qui en fait un spermatozoïde.
Les 3 phases de multiplication, accroissement, maturation se retrouvent dans la formation des ovules. La réduction chromatique se place, aussi, la première division de la phase de maturation. Trois différences sont cependant à signaler :
- l’accroissement des ovogonies est beaucoup plus important que celui des spermatogonies et conduit des ovocytes de 1er ordre, relativement volumineux.
- la division réductionnelle d’un ovocyte de 1er ordre, donne un ovocyte de 2e ordre et une petite cellule dite 1er globule polaire qui dégénère.
- la division d’un ovocyte de 2e ordre donne un ovule et un 2e globule polaire qui dégénère.
La fécondation ramène au nombre diploïde (2n) les chromosomes.
De plus en plus, les laboratoires de biologie établissent aujourd’hui les caryotypes (Ph. 8 et 9), c’est-à-dire des photographies de chromosomes regroupés par paires et classés par ordre de taille, après en avoir effectué la prise de vue au microscope au moment où ils se dédoublent.

Le nombre de gènes constituant le programme héréditaire d’un être humain varie selon les estimations entre 40 000 et 100 000.
La photo 10 montre le chromosome humain n°12 vu au microscope électronique à transmission.

Photo 10
Les chromosomes sont constitués de longues molécules d’A.D.N. (acide désoxyribonucléique) formés notamment par l’alternance et la répétition de 4 combinaisons chimiques (adénine, cytosine, guanine, thymine) qui sont comme les 4 signes d’un code, le code génétique (schéma 11, 12 et 12 bis) (voir note de Monsieur Sire du fascicule de janvier-mars 1983).


Schéma 12

Schéma 12 bis. Représentation schématique de la structure de l’ADN
On estime que chacune de nos cellules (dont le diamètre moyen est de quelques dizaines de microns) contient 1,74 mètres d’ADN, de 2 nanomètres de diamètre (1 nanomètre = 1/1 000 000 millimètre).
Sur ce gigantesque ruban sont codées toutes les informations nécessaires à l’édification de notre corps et à son activité vitale.
Chaque message codé permet à la cellule de synthétiser une protéine, soit une protéine dite de structure qui servira à construire ou reconstruire les différents matériaux de soutien de la cellule, soit une protéine dite enzymatique qui a la propriété d’activer telle ou telle réaction biochimique.
C’est la suite de multiples codages et réactions de ce genre qu’apparaîtront des yeux bleus, des cheveux blonds plus ou moins bouclés, un sang A, B, AB ou O …
Chaque message vient des gènes et la manifestation d’une caractéristique héréditaire directement observable nécessite souvent l’activité de plusieurs gènes.
En définitive, un chromosome est un agrégat de gènes ; il y en a en moyenne quelques milliers par chromosome mais les estimations des spécialistes varient du simple au décuple !
Un caractère dépend d’au moins 2 gènes disposés symétriquement sur les 2 chromosomes d’une paire, l’un provenant du père, l’autre provenant de la mère.
Si ces 2 gènes sont identiques, le caractère commun qu’ils expriment apparaît sur l’individu porteur et on dit que cet individu porte le caractère à l’état « pur » ou homozygote.

Exemple sur les groupes sanguins AA
Si ces 2 gènes ne sont pas identiques, un seul s’exprime généralement sur l’individu porteur et on dit que cet individu porte le caractère à l’état « impur » ou hétérozygote.
Le caractère qui apparaît est dit dominant par rapport à l’autre, lequel, demeurant caché, est dit récessif par rapport au premier.
Exemple : Soit un homme de groupe sanguin A dominant possédant un gène O récessif, marié une femme de groupe sanguin A dominant possédant également un gène O récessif.

Les enfants seront :
- 25% homozygotes de groupe AA
- 50% hétérozygotes de groupe AO
- 25% homozygotes de groupe OO
Parfois les 2 gènes s’expriment en mème temps et on obtient alors un caractère moyen ou cumulatif : ainsi celui qui porte un gène A sur un chromosome de la 8e paire et un gène B sur l’autre est du groupe AB ; on parle alors de co-dominance ou de dominance réciproque ou de dominance intermédiaire.
Toutes les caractéristiques héréditaires ne sont pas contrôlées par une seule paire de gènes.
Les biologistes ne savent pas encore, par exemple, de combien de paires de gènes exactement dépend la couleur des yeux.
En première approximation, on peut dire que les yeux foncés sont dominants par rapport aux yeux clairs ; mais d’où provient leur coloration ?
- le brun est dû à un pigment, la mélanine, qui se dépose dans l’iris ;
- le bleu provient des molécules contenues dans les cellules de l’iris qui diffusent la lumière bleue que l’on voit dans le fond noir de l’œil.
- le vert est dû à un pigment orangé ajouté aux molécules qui diffusent la lumière.
La photo 13 montre une coupe de testicule, obtenue au microscope optique et montrant l’évolution des cellules germinales masculines ou spermatozoïdes, de l’extérieur vers l’intérieur d’un tube séminifère.

Photo 13
La photo 14 représente un spermatozoïde humain observé au microscope électronique à balayage avec un grossissement de 14000. Il véhicule 23 chromosomes paternels dans sa « tête ».

Photo 14
La photo 15 montre l’ovaire avec un follicule prêt à expulser un ovocyte.

Photo 15
Dans l’œuf, et donc dans l’enfant qui va résulter de la fécondation, on va avoir une seule combinaison de la moitié des gènes paternels et de la moitié des gènes maternels parmi 70 000 milliards de combinaisons possibles, ce qui permet d’affirmer que chacun d’entre nous est unique en son genre, sauf dans le cas de jumeaux vrais.
II. – ANOMALIES HÉRÉDITAIRES.
Ce sont des maladies qui se transmettent d’une génération à l’autre et qui affectent les propriétés d’un gène particulier.
Elles peuvent résulter d’une mutation, c’est-à-dire d’une modification des propriétés d’un gène sous l’effet d’un certain nombre de facteurs.
Ces mutations sont très peu nombreuses (20 gènes par millions de cellules sexuelles).
Exemples d’anomalies héréditaires dominantes :
- la polydactylie ou doigts surnuméraires,
- la brachydactylie, raccourcissement ou la suppression d’une phalange, à 1 ou plusieurs doigts,
- la syndactylie ou soudure de deux ou plusieurs doigts,
- l’ectrodactylie ou absence de doigts.
Exemples d’anomalies héréditaires récessives :
Elles sont beaucoup plus difficiles à dépister que les anomalies héréditaires dominantes, car elles sont déterminées par des gènes, qui, pour se manifester, doivent être à l’état pur, en double exemplaire.
Il a été démontré que chacun d’entre nous possède un lourd fardeau génétique et véhicule au moins 8 gènes récessifs très défavorables : « Nous sommes tous tarés ».
Un gène « taré » conduit une anomalie physiologique ou morphologique grave, plus ou moins handicapante. On en connaît un certain nombre.
– Hémophilie.
C’est une affection héréditaire caractérisée par une aptitude à faire, spontanément ou à la suite de blessures insignifiantes, des hémorragies souvent graves, souvent incoercibles. L’incoagulabilité du sang est due à l’absence dans le plasma, d’une globuline nécessaire la coagulation.
Fait curieux, l’affection est transmise uniquement par les femmes et n’atteint que les hommes.
Les femmes qui transmettent ce facteur à leurs fils sont dites vectrices ou conductrices.
Appelons XH le chromosome porteur du gène responsable.
Dans tous les cas les proportions données sont théoriques : le genre humain n’est pas assez prolifique pour que la loi des grands nombres puisse facilement se révéler.
Mariage d’une femme « conductrice » avec un homme sain.

Mère : XhX, ; Père : XY
Gamètes : Mère : Xh et X ; Père : X et Y
2 types d’ovules, 2 types de spermatozoïdes
La descendance aura la composition suivante :
- 25% : filles conductrices
- 25% : filles saines
- 25% : fils hémophiles
- 25% : fils sains.
Mariage d’une femme normale XX avec un homme hémophile XhY

Tous les enfants sont normaux. Les filles sont conductrices.
Mariage d’une femme conductrice XhX et d’un homme hémophile XhY

- 25% fils hémophiles XhY
- 25% fils sains XY
- 25% filles hémophiles XhXh (1)
- 25% filles conductrices XhX
(1) on ne connait pas de cas typique d’hémophilie chez la femme, les hormones féminines exerçant peut-être un effet correcteur sur l’hémophilie
On sait actuellement faire des tests immunologiques permettant de savoir si une femme est vectrice de l’hémophilie. On peut également, pour les femmes susceptibles de porter le gène de l’hémophilie, pratiquer durant la grossesse une amniosynthèse, c’est-à-dire prélever des cellules dans le liquide amniotique, les cultiver, pratiquer des photographies et ainsi déterminer le sexe de l’enfant. Si c’est une fille, on sait qu’elle ne sera pas hémophile.
– Daltonisme.
C’est une affection héréditaire liée au chromosome X. Comme celui de l’hémophilie, le gène responsable est récessif. Son mode de transmission est donc analogue à celui de l’hémophilie ; cependant il peut exister des femmes daltoniennes provenant du mariage d’une femme « conductrice » avec un daltonien.
– Albinisme.
Les albinos sont dépourvus de pigments. Ils ont donc une vue facilement agressée par une trop forte lumière, et une peau très fragile. Un individu sur 10 000 est atteint par cette maladie.
Il existe un autre type d’anomalie mais qui n’est pas héréditaire, le mongolisme.
Les mongoliens ou trisomiques ont 3 chromosomes 21 alors que le nombre normal est de 2.
Lors d’une division de cellules germinales normales, 1 cellule germinale à 2 chromosomes 21 donnera des cellules sexuelles possédant chacune 1 chromosome 2. Il arrive parfois que les 2 chromosomes, au lieu de se disjoindre restent ensemble. Si cette cellule est fécondée, le spermatozoïde amenant également son chromosome 21, l’œuf possèdera alors 3 chromosomes 21. Si cet œuf se développe, il donnera naissance à un enfant mongolien (fig. 16).

Fig. 16. Genèse de la trisomie 21 libre (le mongolisme)
On a constaté que les risques augmentent avec l’élévation de l’âge de la femme lors de la conception.
On n’en connaît pas encore les raisons exactes mais on pense que les ovules d’une femme relativement âgée sont surnaturés, sont ovulés avec un cycle long.
On possède comme moyen de dépistage là également l’amniosynthèse. On prélève du liquide amniotique vers la 15e semaine de grossesse. On cultive des cellules que l’on photographie. On classe les chromosomes et l’on peut ainsi se rendre compte sur le caryotype s’il y a un chromosome surnuméraire.
L’amniosynthèse est une intervention qui présente un risque sur 100 de provoquer un avortement. Donc on ne pratique cet examen que lorsqu’il y a un risque pour la femme d’avoir un enfant mongolien.
Il existe également la trisomie 21 équilibrée. Le chromosome 21 fusionne avec le chromosome 13.
Au cours de la division qui donne les cellules sexuelles, le fait qu’il y ait fusion entre ces deux chromosomes a tendance à retenir l’autre chromosome 21 accolé (fig. 17).

Fig. 17. Translocation 13 – 21
– Les jumeaux.
1 naissance sur 85 est jumellaire. 1/3 sont de vrais jumeaux. Ces naissances sont-elles héréditaires ? Vraisemblablement oui pour les faux jumeaux.
ANNEXE

Fig. 18. Schéma de quelques stades de développement de l’œuf humain au cours de sa migration.
(N.B. La membrane pellucide est représentée en noir).

Fig. 19. Structure de l’ovaire. On a représenté conventionnellement
sur une même coupe et dans l’ordre de leur succession
les différents stades du développement d’un follicule et d’un corps jaune.

Fig. 20. Ultrastructure d’un spermatozoïde

Fig. 21. Follicule de De Graaf mûr entouré de ses thèques et sur le point de se rompre.
Découvrez + de 1100 textes des conférences du CDI sur le site du CDI de Garches
Vos commentaires et vos conseils contribuent à l’amélioration de nos parutions.
Vous disposez de l’espace « COMMENTAIRES » ci-dessous pour les exprimer.
Merci et à bientôt pour votre prochaine visite.

Laisser un commentaire